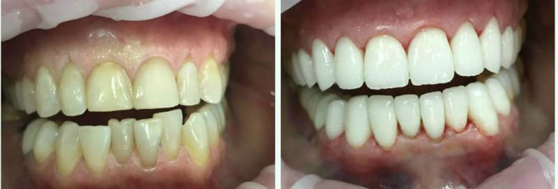
Неправильный прикус и кривые зубы – нередкая проблема у современного человека. Недостаточное внимание к зубам в детстве, ограниченный доступ к качественной стоматологии, незнание родителей или отсутствие возможностей принять необходимые меры – все это ведет к тому, что зубы вырастают неправильно и улыбка выглядит не эстетично.
Однако с наступлением совершеннолетие бывает так, что для карьерного пути необходимо производить хорошее первое впечатление на людей и не последнюю роль в этом играет именно наша улыбка. Однако брекеты – это, как правило, долго, а ускорить процесс можно при помощи установки виниров.
Сразу стоит отметить, что далеко не во всех случаях установка виниров способна исправить проблему. Перечислим случаи, когда это реально:
- Небольшие сколы на зубах.
- Неправильный наклон зубов
- Небольшой разворот отдельных зубов
- Большое межзубное расстояние
- Некрасивая форма
- Небольшое перекрытие одного зуба другим
Важно отметить, что возможность установки виниров или исправление ими вашей улыбки может оценить только стоматолог на консультации и после исследования вашей ротовой полости, так как есть большое множество индивидуальных факторов.
Также стоит учитывать, что у виниров есть ряд противопоказаний, когда их невозможно установить. Среди них стоит выделить:
- Бруксизм – существует риск повреждения виниров
- Отсутствие жевательных зубов – необходимо изначально восстановить жевательные зубы, а затем вернуться к вопросу установки виниров
- Значительно отреставрированные или разрушенные зубы – в этом случае обратите внимание на коронки
- Чувствительность к компонентам анестетика
Другие противопоказания не настолько строгие, однако их все же стоит упомянуть:
- Не рекомендуется установка виниров тем людям, кто занимается экстремальными видами спорта. Дело в том, что винир весьма хрупок, соотвественно, есть высокая вероятность его повреждения.
- Не стоит устанавливать виниры во время беременности. Учитывая количество анестезии, которая используется во время всего цикла процедур по установке, такая нагрузка на организм может привести к нежелательным последствиям и вреду для плода. Поэтому лучше вернуться к этому вопросу после рождения ребенка.
Самое важное в установке виниров – выбор доктора, который будет их устанавливать. Именно от него зависит качество выполненной работы, а значит их долговечность, надежность и финальная эстетика.



